Before And after
Everything You Need for a Healthy, Beautiful Smile

After
Brighter, Confident Smile
After a professional in-office whitening treatment, this patient's teeth are several shades lighter — noticeably whiter, brighter, and more uniform in tone. Professional-grade whitening gel safely penetrates the enamel to break up deep stains that store-bought products can't reach. One visit delivered results that would take weeks of at-home treatment to achieve, with a custom take-home kit to maintain the brightness long-term.

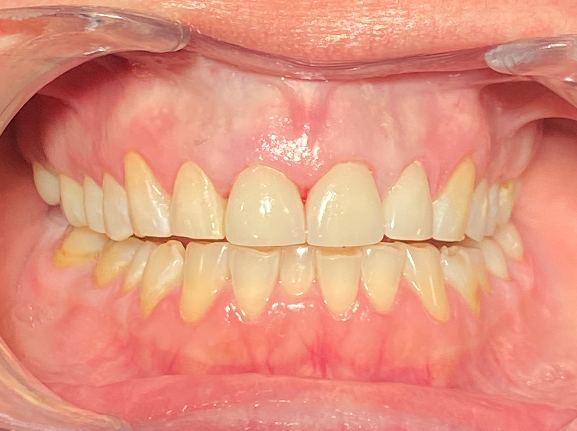
Before
Yellowed, Dull Enamel
Years of coffee, tea, and everyday wear had left this patient's smile looking dingy and aged. Surface stains built up on the enamel, creating that yellow-gray cast that no amount of brushing could lift. The patient felt self-conscious smiling in photos and wanted a brighter, more confident look without the sensitivity of over-the-counter strips.

After
Corrected Bite and Improved Alignment
Invisalign treatment successfully repositioned both upper and lower teeth to create a proper bite relationship and relieve the crowding. The clear aligners gradually moved each tooth into its optimal position, improving her bite function while creating a more harmonious smile. The treatment addressed both the functional concerns and aesthetic goals, giving her a healthier, more comfortable bite.

Before
Misaligned Bite and Crowded Lower Teeth
This patient came to us with a complex bite issue where her upper and lower teeth weren't meeting properly, combined with significant crowding in the lower arch. The misalignment affected her ability to chew comfortably and made thorough cleaning difficult. She wanted to improve both the function and appearance of her bite without the inconvenience of traditional braces.

After
Transformed Smile with Proper Alignment
Through comprehensive Invisalign treatment, we successfully addressed the severe crowding and rotated each tooth into its proper position. The complex movements were achieved gradually over the treatment period, creating adequate space for all teeth while establishing a healthy, functional bite. Her smile is now beautifully aligned with improved oral health and the confidence to smile freely.

Before
Severe Crowding and Rotated Teeth
This patient struggled with significant crowding in both upper and lower arches, with several teeth rotated out of position. The overlapping and twisted teeth created cleaning challenges and made her feel embarrassed about her smile. She was concerned about the complexity of her case but wanted a treatment that wouldn't disrupt her professional appearance.

After
Closed Gaps and Perfectly Aligned Teeth
Invisalign treatment successfully closed the spacing between her front teeth and created beautiful alignment across her entire smile. The clear aligners gradually moved each tooth into its optimal position, eliminating the gaps while maintaining the natural shape and proportions of her teeth. The result is a confident, gap-free smile that looks completely natural and balanced.

Before
Spacing Issues and Uneven Front Teeth
This patient was self-conscious about the gaps between her front teeth and the uneven alignment of her smile. The spacing made her hesitant to smile openly in photos and social situations. She wanted to close these gaps and create a more uniform smile line but preferred a treatment option that wouldn't be noticeable to others.

After
Straight, Well-Aligned Smile Through Invisalign
Invisalign clear aligners successfully corrected the crowding and brought her protruding teeth back into proper alignment. The gradual movement created space for each tooth to sit in its correct position, resulting in improved function and a more balanced facial profile. The discrete treatment allowed her to continue her daily routine with confidence while achieving remarkable orthodontic results.

Before
Overlapping and Protruding Front Teeth
This patient came to us concerned about the severe crowding and protrusion of her upper front teeth. The overlapping canines and irregular spacing made it difficult to clean properly and affected her bite function. She was looking for an effective orthodontic solution that would fit her busy lifestyle without drawing unwanted attention.

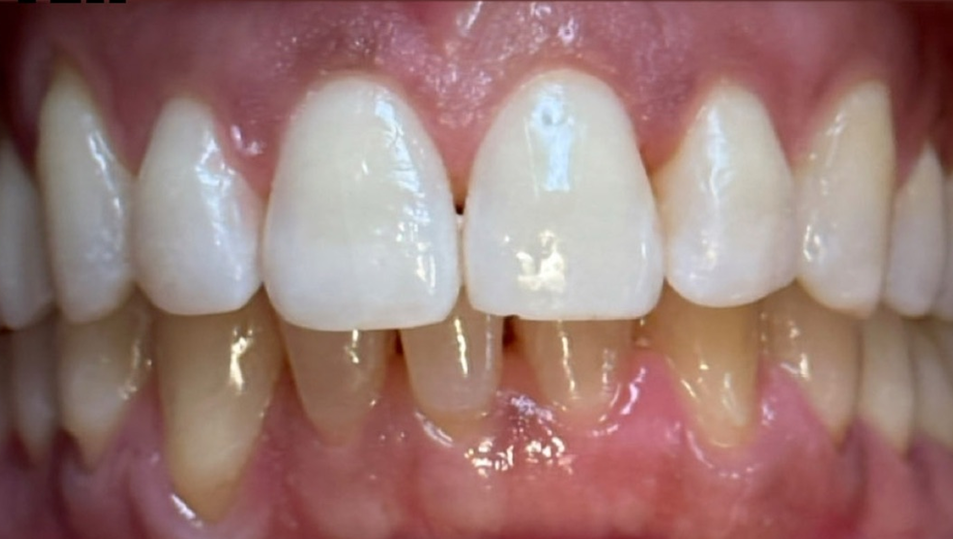
After
Dramatic Transformation
Professional whitening delivered remarkable results, lifting years of deep staining to reveal a naturally bright, healthy-looking smile. The treatment safely removed both surface discoloration and deeper intrinsic stains, creating a uniform, radiant appearance. This patient now smiles confidently, knowing their teeth look years younger and significantly healthier.

Before
Severe Staining and Discoloration
This patient came in with heavy yellowing and brown staining that had built up over years. The discoloration was particularly noticeable on the front teeth, creating an aged appearance that made them hesitant to smile openly. Over-the-counter whitening products had failed to make any meaningful difference on these deeper, more stubborn stains.

After
Beautifully Aligned Smile with Invisalign
After completing Invisalign treatment, her teeth are now properly aligned and evenly spaced. The clear aligners gradually moved each tooth into its ideal position, creating a balanced, natural-looking smile. The transformation was achieved without metal brackets or wires, allowing her to maintain her lifestyle throughout treatment while achieving the straight, confident smile she always wanted.

Before
Crowded and Misaligned Front Teeth
This patient was unhappy with the crowding and irregular positioning of her front teeth. The overlapping and rotated teeth made cleaning difficult and affected her confidence when smiling. She wanted straighter teeth but preferred a discreet treatment option that wouldn't interfere with her professional life or daily activities.

After
Dazzling Smile Upgrade
Two perfectly placed tooth gems catch the light beautifully, adding just the right amount of sparkle without being overwhelming. The gems are securely bonded to the enamel using safe dental adhesive and can be easily removed whenever desired. This subtle bling gives their smile a unique, fashion-forward look that's perfect for special occasions or everyday confidence.

Before
Ready for Some Sparkle
This patient wanted to add a touch of glamour to their smile with tooth gems. Their teeth were already healthy and well-maintained — the perfect canvas for a little extra sparkle. Tooth gems are a trendy, temporary way to personalize your smile without any permanent changes to your natural teeth.

After
A Custom Blend of Crowns and Veneers
Using a mix of porcelain crowns and veneers, we rebuilt her smile tooth by tooth. Crowns added strength where the structure was compromised, and veneers refined the shape and shade of the surrounding teeth. The finished result is a balanced, bright smile with natural translucency at the edges and a uniform line across the front.

Before
Worn Edges and Uneven Smile Line
This patient was bothered by the worn, chipped edges of her upper front teeth and the dull color that no amount of whitening could fix. Some teeth needed full coverage for strength, while others only required cosmetic enhancement. A combination treatment plan was designed to address each tooth's individual needs.


